
Doctors must treat sepsis quickly to prevent organ failure. But demographic change and drug-resistant infections are making the condition harder to manage.
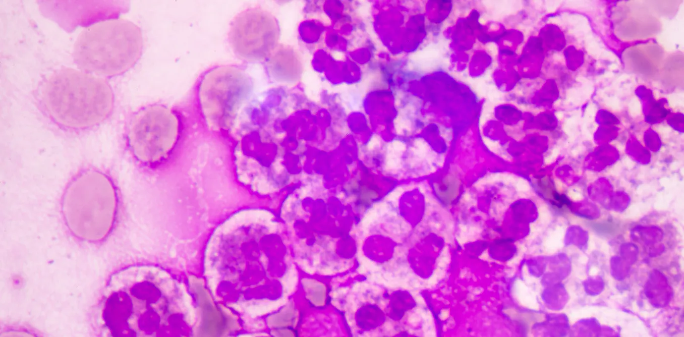
Microscope image of neutrophils, immune cells that respond to infection. Severe infections can trigger sepsis if the body’s inflammatory response becomes uncontrolled. S.Toey/Shutterstock
Sepsis mov… [+6370 chars]









